Tadaaaaa – två veckor sen jag skrev här sist, så nu är det absolut på tiden för ett nytt inlägg 🙂 Tiden rullar verkligen på här nere och oktober blir snart november – gaaaah! 🙂 Två månaders plugg är snart tillryggalagt och det är dags för vår första tenta nu på onsdag 🙂 Iiiiiih!
Så i veckan har jag tillbringat mycket tid på skolan tillsammans med Johan, Martin, Lena och Amanda, pluggat in den ena processen efter den andra, fått koll på en drös med jonkanaler, och ännu fler latinska ord för artärer, vener, klaffar, muskler, ben med mera 🙂 Jag blir alldeles lycklig när jag tänker på hur galet mycket vi lär oss! Har nog aldrig känt mig så korvstoppad som jag gjort efter de här dagarna av hård hjärngympa 😉
Men nog har jag hunnit med att göra en del annat kul däremellan 🙂 Har varit ute och käkat med Mika, Anna och Linn och därtill fick vi ju världens mysigaste besök förra helgen, mor och lillasyster kom hit till Uppis 🙂 Elin var hos oss hela helgen och vi hade tacomys, besökte badhuset och bakade pizza 🙂
Först lite tacomys framför Idol på fredagskvällen:
Sen en heldag på Fyrishovs äventyrsbad:
…något som resulterade i ett glädjeskutt efteråt:
Och till sist en mysig filmkväll med hemmagjord pizza 🙂
På söndag anslöt sig mamma och vi promenerade runt lite i stan, myste med lunch och middag och umgicks innan de tog tåget tillbaka till svallet senare på kvällen 🙂
I övrigt har det varit mycket plugg som sagt och en och en annan myskväll på BMC har passerat 🙂 Men jag njuter verkligen, och att plugga i grupp må ju vara det bästa sättet någonsin. Man håller energin uppe mycket längre, man får ut så galet mycket utav varandra, och man har dessutom sjukt kul i pauserna som naturligt kommer 🙂 Sen är ju en white-board-tavla kanske vårt bästa hjälpmedel ever, vad vore vi utan den? 😉
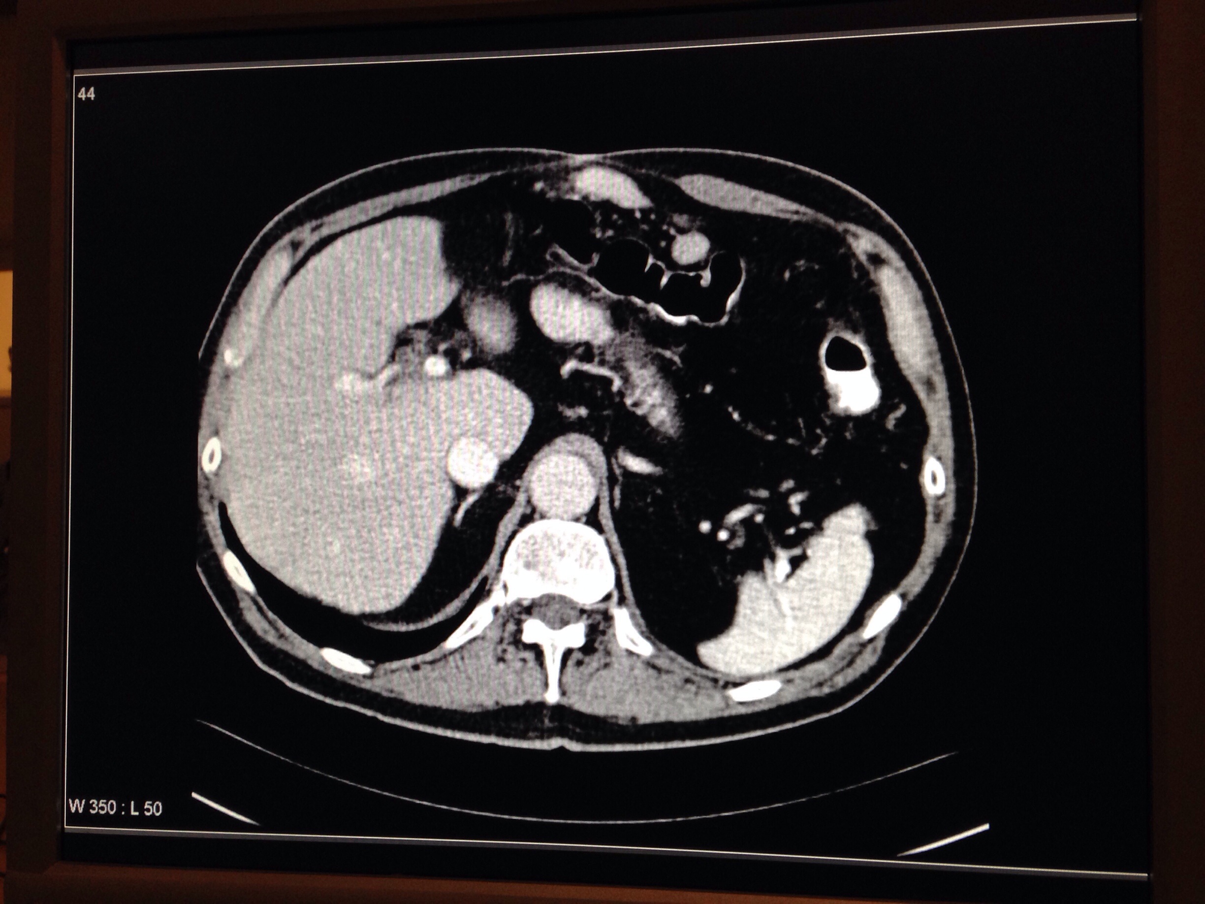
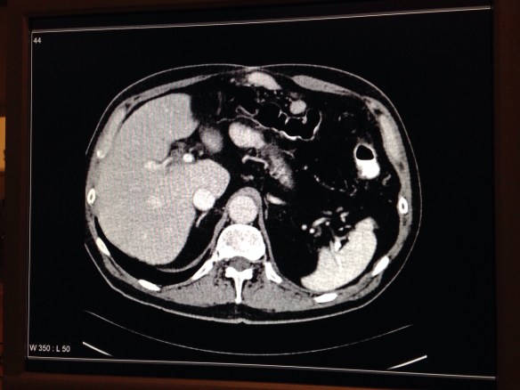
I onsdags var vi nere på sjukhuset och satt en hel eftermiddag och tittade på röntgenbilder, lärde oss massa anatomiska lägen och latinska uttryck för hur man ska beskriva relationen mellan organen i kroppen, samt att överhuvudtaget kunna känna igen de olika delarna 🙂
Här kan vi exempelvis se aorta, vena cava, levern, en bit av pancreas, binjurarna, lungsäcken och mjälten 🙂 Intressant va?! 🙂
Nej, nu måste jag sova 🙂 Imorgon har vi repetitionsföreläsning och sedan plugg resten av dagen 🙂 Två dagar kvar till tentan – gaaaaaah!




















